Nautilus
Новости со всего света
09:55 24 апреля 2026
Иерусалим 25 Тель-Авив 23 Хайфа 25
$ 2.998 £ 4.046 € 3.507 ₽ 0.04 ₴ 0.068
Nautilus
Новости со всего света
09:55 24 апреля 2026
Иерусалим 25 Тель-Авив 23 Хайфа 25

Главные новости

Срочно

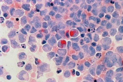
Почему развивается рак и в чем его главная опасность

Онкология может развиваться незаметно, а главную угрозу представляют быстрое прогрессирование и метастазы.

24.04.2026 08:02 Cursor Info

Онкологические заболевания остаются одной из главных медицинских проблем современности: число выявленных случаев продолжает расти, а возраст пациентов постепенно снижается.

Специалисты отмечают, что термин «рак» в бытовом…

Читать дальше

Трамп сообщил: все очень хорошо, перемирие с Ливаном продлевается

24.04.2026 9tv
На фоне обострения ситуации на северном фронте.

У Ирана есть хитроумные кораблики - Трамп высказался о начале войны

24.04.2026 Cursor Info
Дональд Трамп объяснил, насколько долго он намерен ожидать ответ от Ирана относительно соглашения о перемирии.

Ближний Восток

24.04.2026 NewsRu
«Аль-Маядин»: ВВС ЦАХАЛа нанесли удар по цели на юге Ливана
Ливанский канал «Аль-Маядин», ассоциированный с «Хизбаллой», передает, что утром 24 апреля ВВС ЦАХАЛа атаковали цель в районе Хирбет-Сельма, на юге Ливана, примерно в 10 км от израильской границы.

Политика

24.04.2026 Mig News
Трамп пригрозил Британии пошлинами из-за налога на IT-гигантов
Президент США Дональд Трамп резко отреагировал на налоговую политику Великобритании в отношении крупных технологических компаний. Он заявил, что Вашингтон готов рассмотреть жесткие торговые меры,…

Аналитика

Дональду Трампу предстоит узнать, «сколько дивизий у Папы Римского»
Политразборки Евгений Трифонов
Конфликт Трампа с Папой Римским влечёт за собой самые негативные последствия для поддержки американского лидера правыми силами в Европе и Латинской Америке, где его позиции были достаточно сильными. Ссора с Мелони, которая является следствием этого конфликта, сама по себе является ударом по Трампу…

Мнение

Как Америка своих пилотов спасала
Кстати Тимур Сейтмуратов
Он скрывался более 24 часов на враждебной территории. Всё это время Корпус стражей исламской революции (КСИР) и связанные с ним отряды ополчения «Басидж» вели активную охоту. Иранское государственное телевидение подливало масло в огонь. Ведущий иранского ГосТВ вышел в эфир и объявил награду: 10…

Мировая пресса

Националисты Британии предлагают возвести визовый барьер для африканцев
Независимая газета Мировая политика
Документ называет перевозку рабов через Атлантику самым серьезным преступлением против человечности и содержит призыв к выплате репараций. Бывшие колониальные державы, включая Британию, воздержались при голосовании. Между тем газета Daily Mirror напоминает, что британские налогоплательщики…

Площадка

Два права
Живой журнал Игорь Черниховский
Это горькая пилюля, кою необходимо проглотить, ибо она даёт, пусть призрачный, но шанс на выздоровление. Просто, закон маятника - слишком уж сильно его оттянули влево. Слишком уж абсурдной была эта новая вокисткая «нормальность» с её DEI и BLM. И таки да, сложившуюся на только в Штатах, но и в…

Ревью

Эпоха Деструкции
Nautilus Борис Гулько
Джефферсон был одним из трёх великих первых президентов США – юдофилов. Во времена гонений на евреев в разных странах Европы и в католической Латинской Америке, США их охотно принимали. Инструмент гонений на евреев – создатель инквизиции католицизм был сам в США долгое время «персоной нон грата».

Бизнес и финансы

24.04.2026 Mig News
Британский фунт может опуститься ниже 4 шекелей
Британский фунт стерлингов приближается к психологической отметке в 4 шекеля, и на рынке не исключают, что в ближайшее время курс может опуститься ниже этого уровня. В последний раз такие значения…

Бизнес и финансы

24.04.2026 Mig News
Самые продуктивные экономики мира: кто создает больше ВВП за час
Ирландия, Норвегия и Люксембург стали лидерами мирового рейтинга по объему ВВП, создаваемого за час работы, свидетельствуют данные ОЭСР. В среднем страны организации формируют около $71 за час,…

Бизнес и финансы

24.04.2026 Mig News
SpaceX допустила, что космические дата-центры могут оказаться убыточными
SpaceX предупредила инвесторов, что проект космических дата-центров для искусственного интеллекта может не стать коммерчески успешным из-за высокой технической сложности, рисков эксплуатации и…

Бизнес и финансы

24.04.2026 NewsRu
Трамп угрожает ввести «крупные пошлины» против Великобритании
Трамп заявил в интервью The Telegraph, что введет «крупные пошлины» против Великобритании, если Лондон продолжит «преследовать» американские технологические компании.
Created by: