Nautilus
Новости со всего света
15:33 8 октября 2025
Иерусалим 27 Тель-Авив 28 Хайфа 25
$ 3.277 £ 4.389 € 3.808 ₽ 0.04 ₴ 0.079
Nautilus
Новости со всего света
15:33 8 октября 2025
Иерусалим 27 Тель-Авив 28 Хайфа 25

Главные новости

Срочно

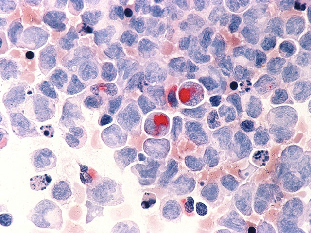
Бактерии, скрытые внутри опухолей, могут помочь победить рак

Исследователи выяснили, что бактерии, обитающие внутри опухолей, способны вырабатывать соединение, которое помогает уничтожать раковые клетки и повышает эффективность химиотерапии.

08.10.2025 13:16 NewsRu

Команда ученых под руководством специалистов из Лаборатории медицинских наук Имперского колледжа Лондона и Кельнского университета выявила, что микробы, связанные с опухолями, способны вырабатывать молекулу, регулирующую развитие рака и усиливающую действие химиотерапии.

Обнаружен в последнюю минуту перед вылетом

08.10.2025 Arutz Sheva
13-летнему подростку удалось самостоятельно пройти систему безопасности и досмотра в аэропорту Бен-Гурион и сесть без документов и авиабилета на самолет авиакомпании El Al

Ближний Восток

08.10.2025 NewsRu
Эрдоган: «Трамп попросил меня убедить ХАМАС»
Президент Турции Реджеп Тайип Эрдоган рассказал, что президент США Дональд Трамп попросил его убедить ХАМАС принять подготовленный американской администрацией план урегулирования в секторе Газы.

Политика

08.10.2025 Mig News
Смотрич присоединился к маршу, посвященному 50-летию поселений
Тысячи людей приняли участие в марше и митинге, посвященном 50-летию поселения в регионе Самария, когда в 1975 году активисты движения за поселение Гуш Эмуним добились разрешения на создание…

Аналитика

Колумбия ведёт переговоры с крупнейшей преступной организацией страны
Политразборки Евгений Трифонов
Похоже, в мечтах президента Петро о Колумбии как «кокаиновом Кувейте», «крёстные отцы» «Клана Гольфо», отмыв руки от крови и выведя татуировки, превратятся из бандитских атаманов в «генералов» экономики. Правда, для этого придётся сначала добиться признания кокаина безвредным лекарством, в чём…

Ревью

Немного маразма в тарелку
Facebook Ольга Кромер
Или шампанское имеют право пить только французы, танго танцевать – только аргентинцы, пиццу заказывать – только итальянцы, а помидоры есть – только потомки ацтеков? Оговорюсь сразу, я не юрист. Есть ли тут какое-то авторское право и как далеко оно заходит, я не знаю. Мне кажется – маразм, но мое…

Мнение

Треугольник с острыми углами
Kontinent USA Василий Головнин
При нынешнем как бы «левом» президенте Ли Чжэ Мёне пока не происходит ничего похожего. Он дал понять, что не намерен атаковать Токио за грехи колониальных времен и с неожиданной твердостью выступает за военное сотрудничество в треугольнике Вашингтон-Сеул-Токио.

Мировая пресса

«Арабское НАТО» забуксовало прямо на старте
Независимая газета Ближний Восток
Поставки аравийским странам передового израильского программного обеспечения в сфере шпионажа были ключевым направлением израильской дипломатии на протяжении десятилетия. И израильские спецслужбы так глубоко инвестировали в сферу безопасности Персидского залива, что местные игроки находятся от них…

Площадка

«Вы нам только шепните, мы на помощь придем»
Haqqin Евгений Бай
Куба начала свое вторжение в Венесуэлу вскоре после победы Чавеса на выборах в 1998 году. Она наводнила страну тысячами агентов спецслужб и военных советников, которые разместились буквально в каждом министерстве, в каждой казарме страны, в министерстве иностранных дел, в нефтяной компании…

Наука и техника

08.10.2025 Mig News
Сколько друзей нужно человеку: мозг ограничивает социальные связи
Ученые утверждают, что несмотря на рост числа контактов в социальных сетях, человеческий мозг способен поддерживать ограниченное число реальных отношений - около 150 человек, при этом ключевую роль…

Наука и техника

08.10.2025 Mig News
Сколько друзей нужно человеку: мозг ограничивает социальные связи
Ученые утверждают, что несмотря на рост числа контактов в социальных сетях, человеческий мозг способен поддерживать ограниченное число реальных отношений - около 150 человек, при этом ключевую роль…

Наука и техника

08.10.2025 Mig News
Глобальное потепление может привести к новой ледниковой эпохе
Исследователи из Оксфордского университета и NASA заявили, что чрезмерное таяние полярных льдов может парадоксальным образом вызвать не потепление, а резкое похолодание на Земле.

Наука и техника

08.10.2025 Mig News
Глобальное потепление может привести к новой ледниковой эпохе
Исследователи из Оксфордского университета и NASA заявили, что чрезмерное таяние полярных льдов может парадоксальным образом вызвать не потепление, а резкое похолодание на Земле.
Created by: